Request Appointment
1939 E. Genesee Street, Syracuse, NY 13210
(315) 492-4000
Our Office
1939 E. Genesee Street
Syracuse
,
NY
13210
(315) 492-4000
Office Hours
Monday
Closed
Tuesday
9:00 am - 5:00 pm
Wednesday
9:00 am - 5:00 pm
Thursday
9:00 am - 5:00 pm
Friday
9:00 am - 5:00 pm
Saturday
Closed
Sunday
Closed
Visit Us Online
Home
About Us
Our Office
New Patients
Smile Gallery
Testimonials
Dental Videos
Our Doctor
Services
Extractions
Night Guards
Oral Exams
Pediatric Dentistry
Periodontal Treatment
Preventative Program
Sleep Apnea
Crowns & Caps
Dental Bridges
Dental Fillings
Dentures
Implant Dentistry
Teeth Whitening
Veneers
Patient Education
Careers
Contact Us
Request Appointment
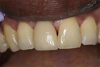
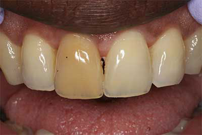
Dentistry Before and After Photos
Pre-Op
Post-Op
Our Office
1939 E. Genesee Street
Syracuse
,
NY
13210
(315) 492-4000
Office Hours
Monday
Closed
Tuesday
9:00 am - 5:00 pm
Wednesday
9:00 am - 5:00 pm
Thursday
9:00 am - 5:00 pm
Friday
9:00 am - 5:00 pm
Saturday
Closed
Sunday
Closed
Visit Us Online
(315) 492-4000
© 2026 Jamesville Dental Office. All Rights Reserved. |
Accessibility Policy
Dentist Website Design